Dental Cleaning

How Often Do I Need To Get A Dental Cleaning

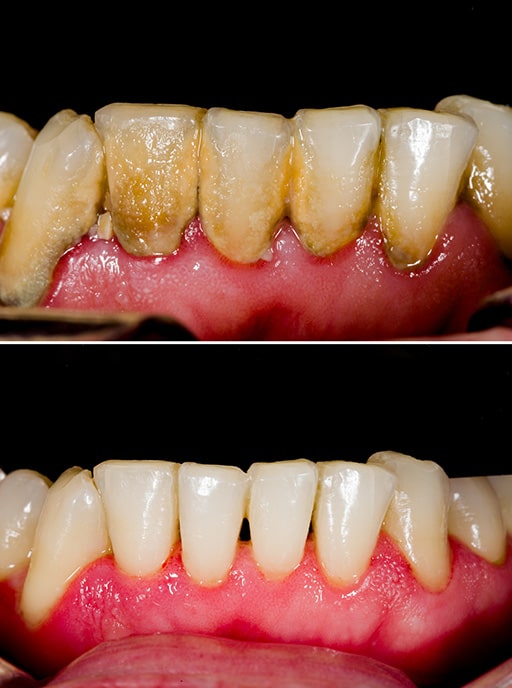
  • You need a cleaning every three to six months. The plaque usually hardens to calculus in about ten days' time and by three months most people have significant calculus build up that require debridement with scalers.

Why is a dental cleaning necessary

  • Plaque and calculus cause gum disease and increases the risk of cardiovascular disease. The bacteria can travel from the mouth throughout the body and cause inflammation of the blood vessels, which can increase the risk for heart attacks and strokes.
  • Gum disease leads to periodontal disease which results in the gum receding and bone loss around the tooth. Eventually, too much bone and gum are lost, and the tooth becomes loose. Loose teeth will move and drift and may hurt when chewing on solid foods. If the gum disease does not stop, teeth will get so loose they will fall out.
  • Plaque and calculus can also contribute to recurrent infection of the tonsils or lead to tonsil stones. Plaque and calculus along with tonsil stones produce an unpleasant odor and are the main causes of halitosis (bad breath).